L’Aopc al Congresso Nazionale dell'Associazione Italiana Ingegneri Clinici
L’Aopc al Congresso Nazionale dell'Associazione Italiana Ingegneri Clinici
28 Maggio 2019
Si sono svolti quest'anno, dal 15 al 18 maggio a Catanzaro, presso l'Università degli Studi Magna Graecia, i lavori del Congresso Nazionale dell'Associazione Italiana Ingegneri Clinici (AIIC).
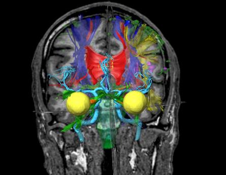
Fra le lezioni tenutesi, nella giornata del 15 Maggio, di grande interesse è stata quella dal titolo "Il ruolo delle immagini mediche per la pianificazione e la guida intraoperatoria in trattamenti di alta precisione" dai docenti l’Ing. Maria Francesca Spadea, Ricercatrice di Bioingegneria dell’Università Magna Graecia di Catanzaro, e l’Ing. Luigi Santaguida, Dirigente Responsabile della Struttura Operativa di Ingegneria Biomedica dell’Azienda Ospedaliera “Pugliese Ciaccio” di Catanzaro.
Il corso ha fornito la descrizione delle moderne tecniche di acquisizione, formazione ed elaborazione di immagini mediche, sia morfologiche che funzionali, per una corretta guida intraoperatoria. Sono stati descritti i sistemi di navigazione attraverso numerosi esempi applicativi, soprattutto nell’ambito della neurochirurgia (guidata ed assistita nella Biopsia frameless) e adroterapia. Sono state descritte simulazioni in cui la pianificazione in neurochirurgia può essere utilizzata per il treatment planning in radioterapia. Negli ultimi anni le immagini mediche hanno assunto un ruolo di primaria importanza non solo nell’ambito della diagnostica ma anche per una corretta pianificazione ed esecuzione di interventi di alta precisione. Questo, grazie agli avanzamenti tecnologici nel campo dell’hardware e del software.
La Prof.ssa Spadea, esperta di radioterapia guidata da immagini, ha inoltre fornito un'ampia panoramica sulle moderne tecniche radio e adroterapiche per il trattamento di lesioni tumorali mobili.
Nel nosocomio la neuronavigazione si effettua dal 1998, quando fu eseguito il primo intervento in neuronavigazione dal Primario di Neurochirurgia, il dottore Claudio Ceccotti, ed oggi continua sotto la direzione del Dottore Giuseppe Mauro.
Sin dai primi anni del 2000 l'entrata in equipe dell' ingegnere Luigi Santaguida ha consentito di perfezionare e di portare al top il sistema di Neuronavigazione, passando dalla prima generazione alla seconda fino alla recente installazione, nel 2018, di un sistema predisposto per l'interfacciamento con eventuale TC o RM Intraoperatoria che consente mediante guida ecografica intraoperatoria di eseguire localizzazioni accurate e che oggi vanta di essere fra i primi in Italia. L'ospedale Pugliese è da diversi anni, fra pochi centri in Italia ed unico attualmente in Calabria, ad eseguire biopsia cerebrale in neuro navigazione (frameless, senza casco stereotassico).
Infine, durante la stessa lezione, è stato messo in evidenza il protocollo effettuato in Sala Oparatoria di Neurochirurgia, con il supporto di un team multidisciplinare, che prevede la somministrazione di un farmaco immunoterapico all’interno delle lesioni tumorali encefaliche, sia di tumori primitivi, che insorgono nel cervello (es. glioblastomi), sia in casi selezionati di metastasi da altri tumori, attraverso ausilio di sistema di neuronavigazione e di fluorescenza indotta che consentono di individuare e centrare con precisione la massa tumorale.
Clicca quì per leggere la notizia pubblicata su Il Quotidiano del Sud
Clicca quì per leggere la notizia pubblicata su Calabria 7
Clicca quì per leggere la notizia pubblicata su Catanzaro Tv
Clicca quì per leggere la notizia pubblicata su Il Dispaccio
Clicca quì per leggere la notizia pubblicata su CatanzaroInforma